richiedi informazioni
Certezza della
diagnosi con tac 3d
cone-beam
"L'evoluzione della TAC
per progettare il tuo
sorriso"
scopri di più...
Lo studio
1 - 15
<
>
Interventi e trattamenti
Gengivectomia laser
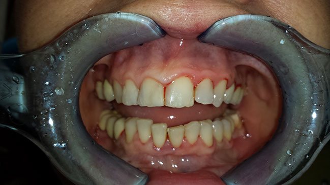
Prima dello sbiancamento
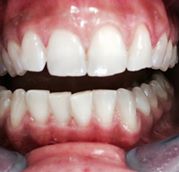
Dopo lo sbiancamento
Fase 1: stato iniziale
Fase 2: ricostruzione in composito
Fase 3: applicazione faccette
Sbiancamento
Sbiancamento
Sbiancamento
Trattamento laser
TAC cone beam
Trattamento di Igiene Orale
Protesi
Protesi
1 - 15
<
>
Per rimanere in contatto e ricevere aggiornamenti e promozioni riservate, iscriviti alla nostra newsletter!
Opinioni dei clienti
5.0
2016 © Dott. Vincenzo Ciccarello - P.Iva 01963540842 - Informativa Cookies